WHY BITESOFT
Most people finish in 4 – 8 months. You’re next.
Bitesoft makes straightening your teeth feel simple, affordable, and actually doable.
Led by Australian dentists and delivered in days, our aligners cut out the long waits, high markups, and unnecessary appointments. Most people finish in an average of 4–8 months, saving thousands compared to braces or other alternatives.
Better Confidence
More Comfortable
Faster Results
More Hygienic
A CLOSER LOOK AT HOW IT WORKS
Your New Smile Starts Here
Arrange a phone or video call with one of our treatment specialists to help determine the best treatment path for your needs and smile goals.

ONE
Personalised Assessment
During this consultation, we’ll explain exactly what treatment you need, how the treatment works, discuss pricing and flexible payment plans, and walk you through what happens next — so you can move forward with total clarity and confidence.

TWO
Organise Your Booking
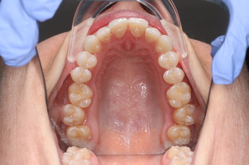
We’ll then book you in at one of our partner clinics for a full initial assessment. This appointment includes a digital scan, X-rays, a professional clean, and a comprehensive oral health evaluation.
If you’re not located near one of our partner clinics, you can discuss this during your e-consult and we’ll talk through the next steps — you may still be eligible to get started.

THREE
View Your Future Smile
Before you commit to treatment, you’ll be able to see exactly how your teeth are expected to move from start to finish through a personalised 3D simulation. This digital preview maps out each stage of your smile transformation, giving you a clear understanding of the process and the final result. It’s a powerful way to visualise your future smile, ask informed questions, and move forward with complete confidence.

FOUR
Aligners On The Way
Once you give the go-ahead, we’ll custom-make your aligners and ship them out in just 5–10 days — no waiting weeks. Your box includes your aligners, premium dental-grade teeth whitening, post-treatment retainers, and your ScanBox device for easy at-home check-ins.
Can’t pay upfront?
Flexible Payment Plans Available!
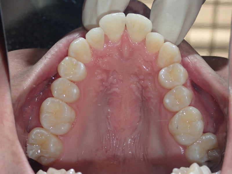
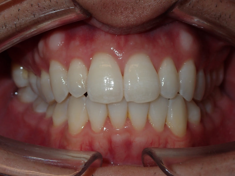
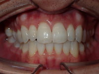
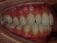
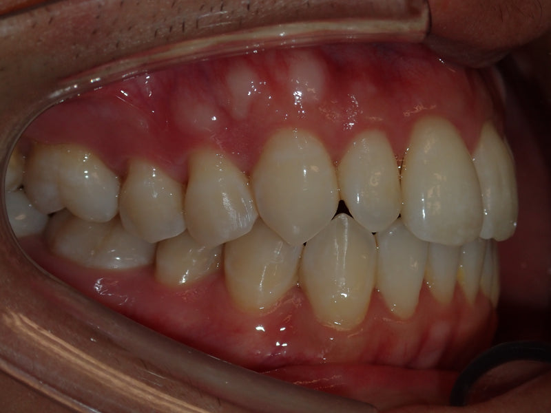
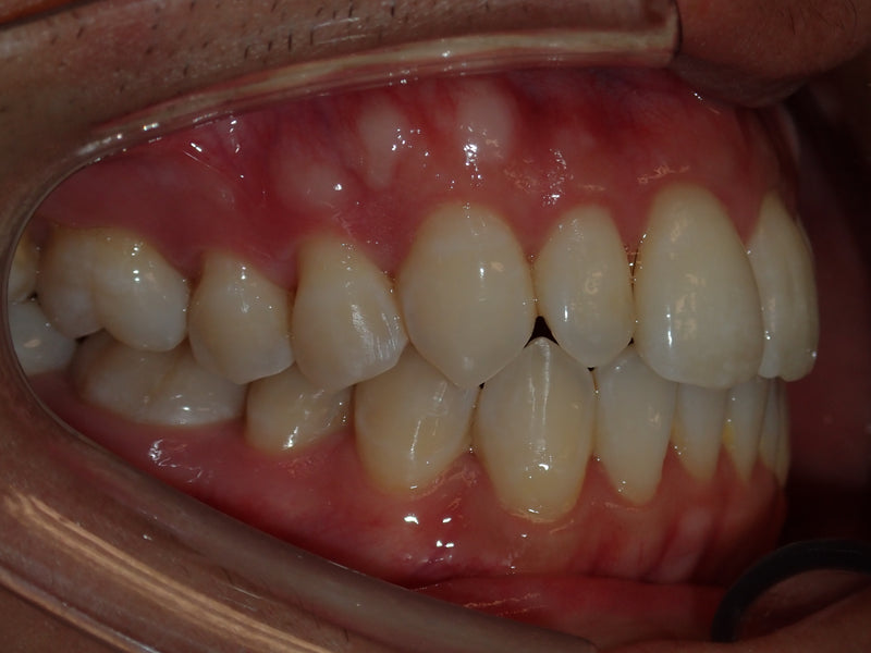
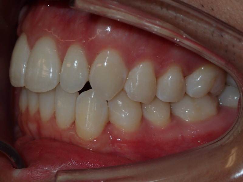
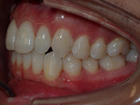
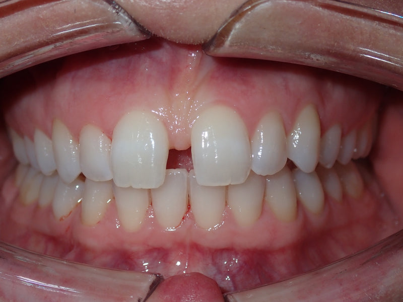
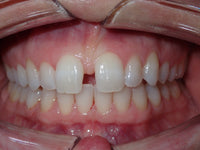
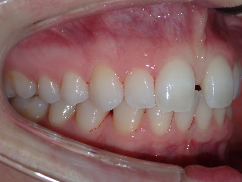
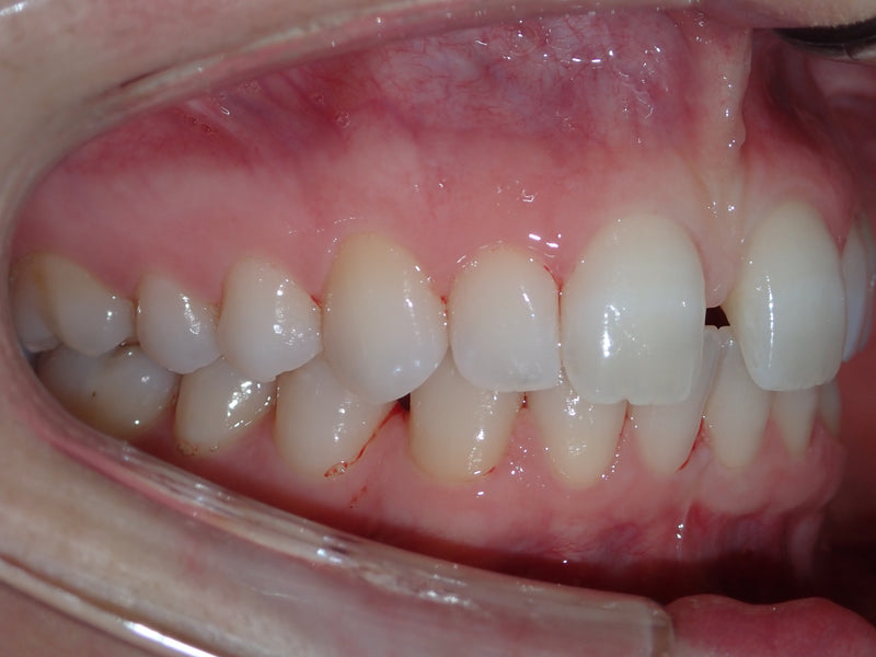
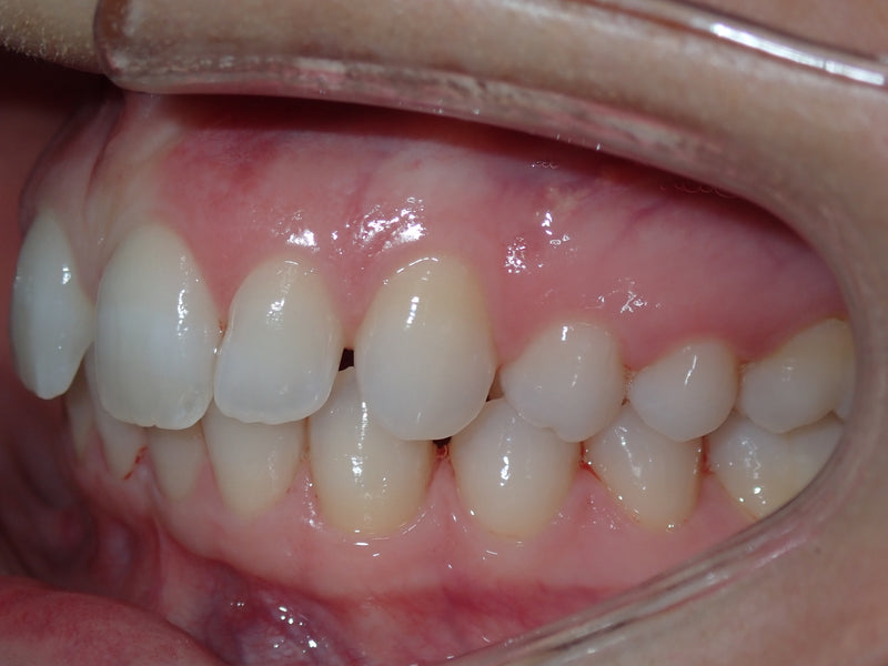
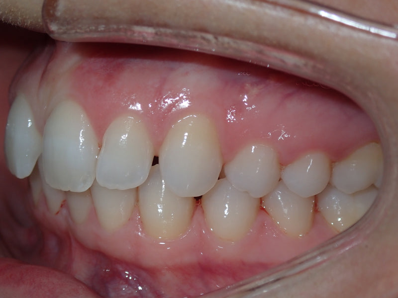
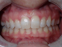
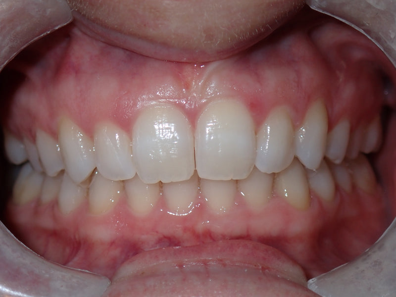
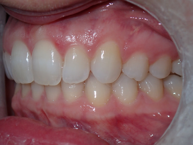
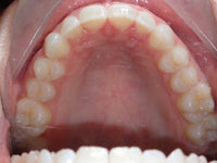
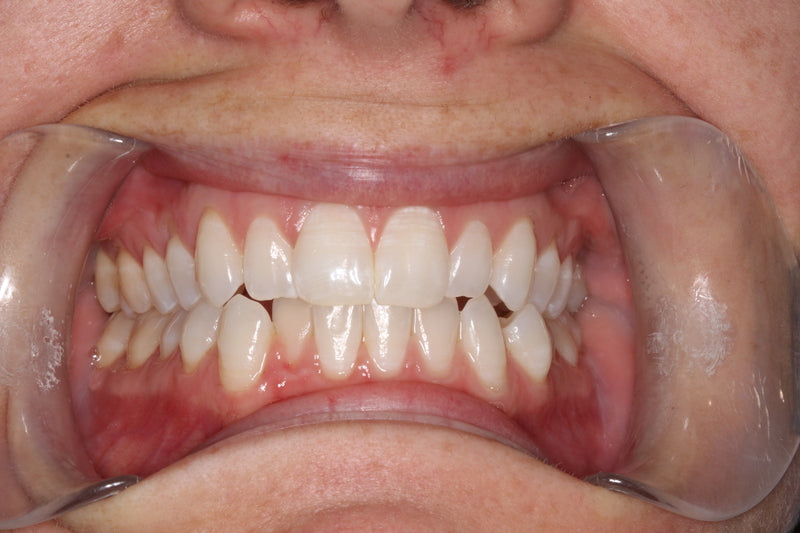
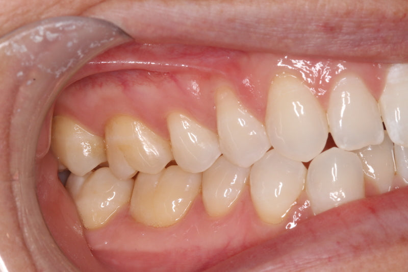
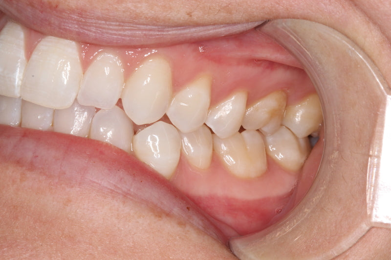
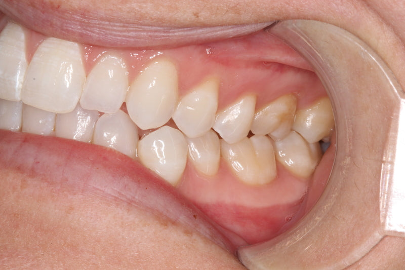
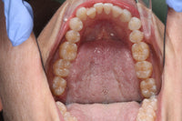
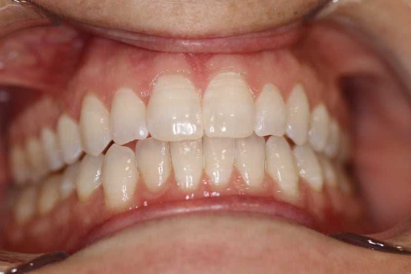
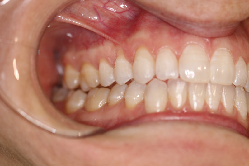
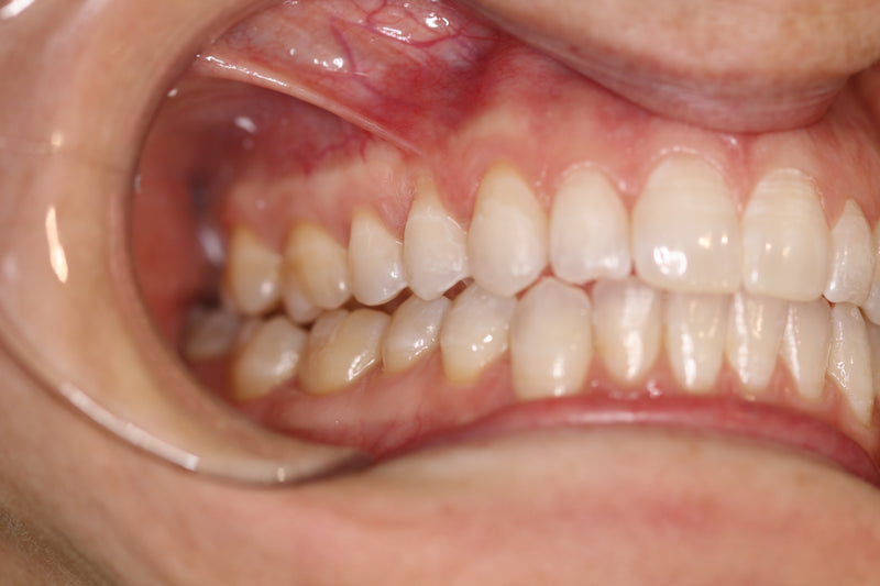
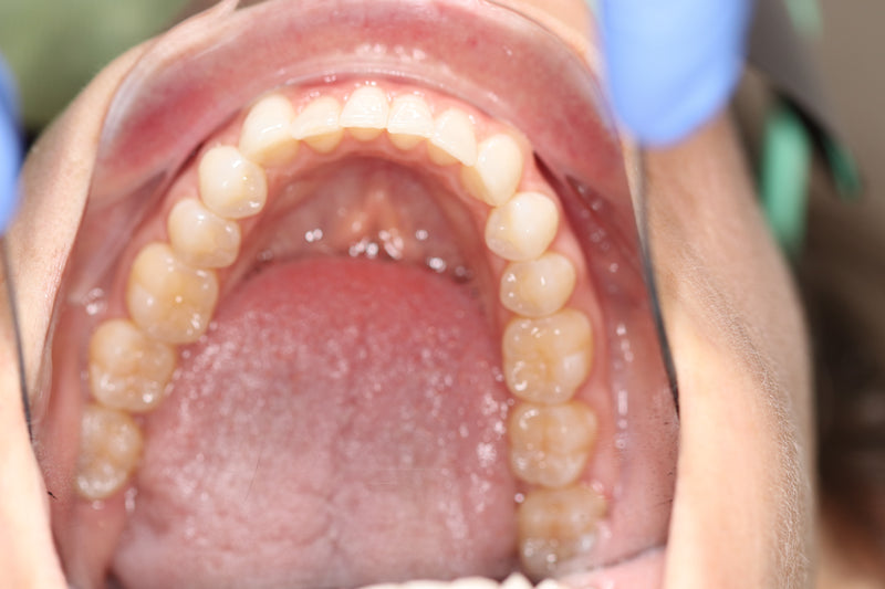
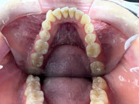
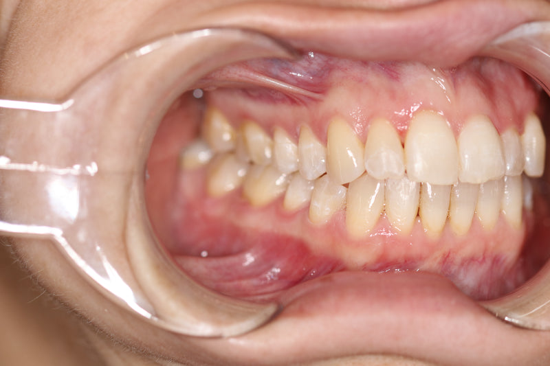
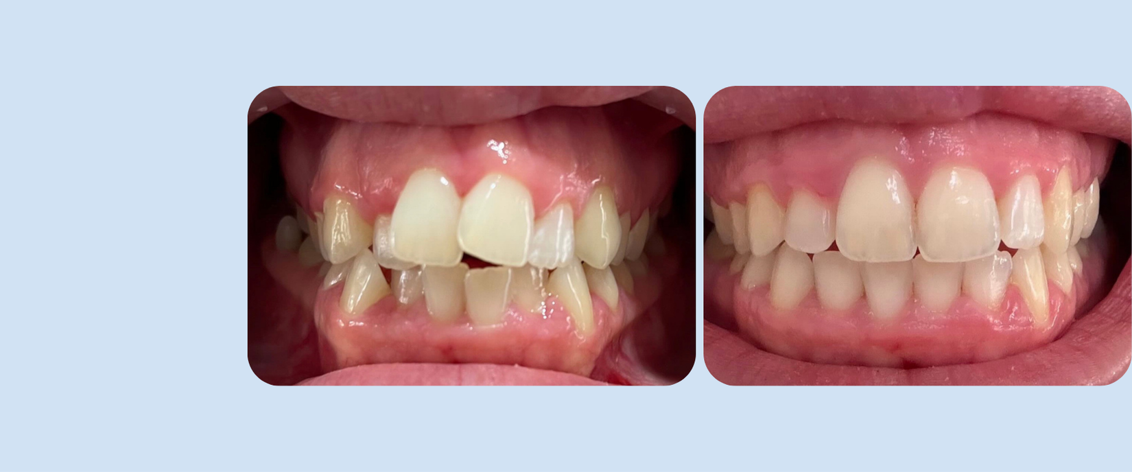
Smiles we've helped shape.
Before
After“Getting clear aligners has been one of the best decisions I've ever made. Not only has my smile transformed, but so has my confidence.”










Before
After“Starting my aligner journey was truly life-changing. I never expected such amazing results, and now I smile with complete confidence every single day.”










Before
After“I’m so glad I chose clear aligners when I did. The process was simple, the results were stunning, and I feel like myself again when I smile.”










Before
After“The aligners were easy to use and surprisingly effective. I love how straight my teeth are now and how much more confident I feel in photos.”










Aligners, whitening, retainers, pro-grade monitoring — it’s all in the box. Click the icons to see the full kit.
All This? Yep, It’s Included.
Keep your aligners, retainers, and dental appliances fresh and odor-free with our fast-acting cleaning tablets. Specially formulated to remove stains, plaque buildup, and bacteria, our tablets provide a deep clean in just minutes, ensuring your aligners stay crystal clear and hygienic.
Stay on track with your smile journey using our ScanBox monitoring system. With quick, at-home scans and real-time tracking by our dental team, you’ll get expert oversight and faster feedback, without extra appointments. Smart, simple, and seamless.
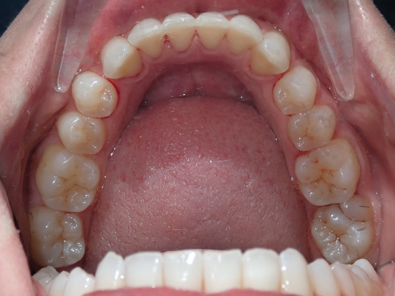
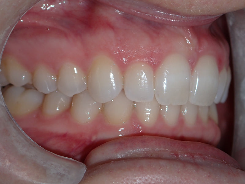
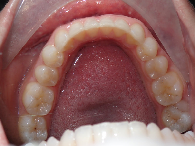
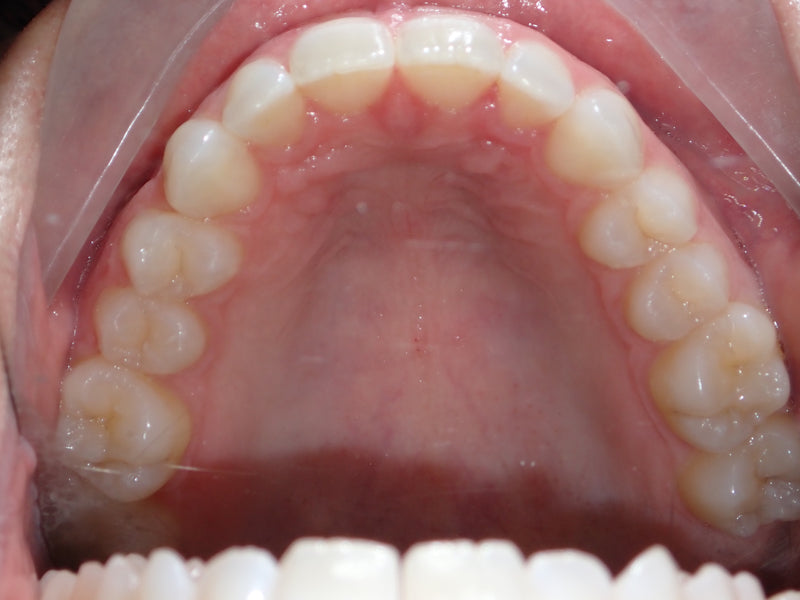
Achieve a straighter, more confident smile with our custom clear aligners. Precision-designed for comfort and effectiveness, they work gently to align your teeth and enhance your smile. Every treatment plan is tailored to your needs, making your journey smooth, discreet, and results-driven.
Get a brighter, whiter smile with our dental-grade teeth whitening formula, designed to deliver professional results from the comfort of your home. Our advanced whitening system effectively removes stubborn stains caused by coffee, wine, smoking, and everyday discolouration.
Keep your aligners safe, clean, and always within reach with our sleek carry case. Compact and durable, it’s the perfect companion for life on the go, whether you're at work, out to eat, or traveling.
Who’s It For?
Bitesoft aligners are made for everyone — whether you’re 14 or 50+, just starting your smile journey or picking up where braces left off.
We treat everything from small tweaks to more complex cases. Age, smile goals, and dental health all play a part — but chances are, you’re eligible.
👉 Tap below to find out.

Ages 14 - 50+
Bitesoft aligners are suitable for both adults and teens who have all their permanent teeth. Teenagers must have their second molars fully erupted, ensuring their teeth are ready for orthodontic movement. Our treatment provides an ideal solution for those looking for a nearly invisible alternative to braces, whether for personal confidence or professional appearance.

Commited
Clear aligners require consistent wear (20-22 hours per day) to achieve the best results. Candidates should be committed to wearing their aligners as instructed and following their treatment plan, including regular remote check-ins or in-clinic visits as needed.

Minor to Severe
We offer clear aligner solutions for mild to severe cases, including crowding, spacing, overbites, underbites, and more. Our expert team carefully assesses each case to create a customised treatment plan that delivers safe, effective, and long-lasting results. Whether you need minor adjustments or a more complex realignment, we’re here to help you achieve your perfect smile.

Good Oral Health
Candidates for clear aligners should have healthy teeth and gums, free from untreated cavities or active gum disease. Before starting treatment, it’s important to have a dental check-up to ensure there are no underlying oral health concerns that need addressing.
Loved by 8,000+ Smiles (and Counting)
Hear directly from our community — unfiltered feedback, glowing results, and why they chose bitesoft to transform their smile.
FAQs
How do I get started with clear aligner treatment?
Getting started is easy. Book an in-clinic assessment where we’ll examine your teeth, take digital scans and determine whether clear aligners are right for you. After your assessment, we’ll recommend the most suitable treatment tier for your smile.
How much does clear aligner treatment cost?
We offer transparent, all-inclusive pricing based on the complexity of your case:
- Express (up to 10 aligners): $2,799
- Mild (up to 20 aligners): $3,599
- Moderate (up to 40 aligners): $4,299
- Complex (up to 60 aligners): $4,999
Your clinician will confirm your treatment tier after your assessment.
What’s included in the treatment cost?
All treatment tiers include:
- 3D Treatment Plan
- All Aligners
- Dental Monitoring Scanbox
- All Clinic Appointments
- 10 Year Guarantee
- Post Treatment Retainers
- 24/7 Customer Care
- BONUS Dental Grade Whitening
1. 95% of users report increased confidence due to the near-invisible design of clear aligners.
Source: A Comparison of Treatment Effectiveness Between Clear Aligner and Fixed Appliance Therapies, Jan 2019.
2. 80% of people experience less irritation with clear aligners compared to traditional braces.
Source: Clear Aligner Therapy, Sep 2023.
3. Clear aligners deliver results up to 50% faster than traditional braces.
Source: Dental Health Society.
4. Clear aligners are 2x more hygienic than braces.
Source: European Journal of Orthodontics.





















